动漫迷们,是不是已经迫不及待想要知道《从前有座灵剑山》第二季的最新动态了?那就跟着我一起,穿梭在灵剑山的奇幻世界,探寻那些让人心...
亲爱的读者们,你是否曾在浏览视频时,突然被那些无处不在的广告打断,心情瞬间跌入谷底?别担心,今天我要带你探索一个神奇的世界——无...
你知道吗?最近网上疯传一段氢气球爆炸的视频,简直让人看了心惊胆战!这可不是闹着玩的,氢气球爆炸的威力可大着呢!今天,我就带你来揭...
你有没有想过,在这个信息爆炸的时代,有些东西总是能悄悄地闯入我们的视线,让人忍不住多看一眼?今天,我就要和你聊聊一个话题,它可能...
你知道吗?最近网上可是掀起了一股“女友吃瓜视频大全下载”的热潮呢!这可不是普通的视频,而是各种搞笑、温馨、甚至是有点小尴尬的瞬间...
亲爱的读者,今天我们要聊一个大家可能都好奇但又有些避讳的话题——色情片视频。在这个信息爆炸的时代,网络上的内容五花八门,而色情片...
你有没有发现,现在网上那些热门视频,动不动就上百万的播放量?是不是也好奇,这些视频是怎么从A地搬到B地的?今天,就让我带你一探究...
亲爱的读者们,今天我要给你带来一份特别的“吃瓜”大餐!是的,你没听错,就是那些让你心跳加速、八卦不停的黑料。在这个信息爆炸的时代...
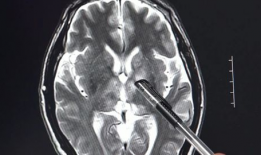
你有没有想过,去医院看病的时候,医生有时候会给你来点“特殊待遇”?比如说,给你做个脑膜刺激征检查。这听起来是不是有点陌生?别急,...
你有没有发现,最近动漫圈里刮起了一股“肉肉风”?没错,就是那些可爱到让人忍不住想要捏一捏的角色们。今天,就让我带你一起探索一下这...